At Stellars Hospital, Thane, we provide world-class neurosurgery services for brain, spine, and nervous system disorders. Our expert neurosurgeons in Thane use advanced technology, minimally invasive techniques, and evidence-based treatments to deliver safe and effective care. Whether it’s elective procedures or emergency neurosurgery in Thane, our department ensures the best outcomes for every patient.
Why We’re the Right Choice for Neuro Care
Expert Neurosurgeons in Thane - Highly experienced brain and spine specialists
24/7 Emergency Neurosurgery in Thane - Dedicated trauma team for critical brain, spine injuries & Stroke Management
Endoscopic Surgery – Advanced keyhole procedures for quicker recovery, minimal scars, and reduced discomfort.
Comprehensive Care - From diagnosis and surgery to rehabilitation and follow-up support.
Advanced Technology - Equipped with neuronavigation, endoscopy, intraoperative monitoring, and modern ICU care.
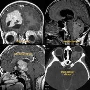
At our advanced Neurosurgery Center in Thane, we specialize in brain tumor surgery with a focus on both complete tumor removal and the preservation of neurological functions. Using modern techniques such as microsurgery, endoscopic brain surgery, and neuronavigation systems, our neurosurgeons ensure safe and precise treatment. Whether it is a glioma, meningioma, pituitary tumor, or metastatic brain tumor, we provide personalized surgical care for the best outcomes. Patients benefit from shorter hospital stays, faster recovery, and improved quality of life after surgery.
Our hospital offers minimally invasive endoscopic spine surgery in Thane for conditions such as slipped discs (herniated discs), spinal stenosis, and degenerative spine disorders. Endoscopic spine surgery involves smaller incisions, less blood loss, and faster rehabilitation compared to traditional open surgeries. With advanced endoscopic equipment and the expertise of our spine surgeons in Thane, patients experience significant pain relief, reduced muscle damage, and quicker return to normal activities.
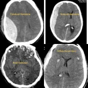
We provide specialized aneurysm and vascular neurosurgery in Thane, offering precise treatment for brain aneurysms, arteriovenous malformations (AVMs), intracranial hemorrhages, and vascular malformations. Using advanced techniques such as microsurgical clipping, endovascular coiling, and bypass surgery, our neurosurgical team ensures life-saving interventions with minimal complications. Our neurovascular specialists in Thane are trained to manage both emergency and elective vascular conditions of the brain with high success rates.
Our center offers functional neurosurgery in Thane, including Deep Brain Stimulation (DBS) and epilepsy surgery for patients with Parkinson’s disease, dystonia, tremors, and seizure disorders. These advanced procedures help in symptom control, reducing medication dependency, and improving quality of life. With a patient-focused approach and advanced neurophysiological monitoring, we ensure safe and effective results for patients requiring functional neurosurgical interventions.
We specialize in neuro-trauma emergency care in Thane, providing immediate surgical interventions for patients suffering from severe head injuries, traumatic brain hemorrhages, skull fractures, and spinal cord injuries. Our dedicated neurotrauma emergency unit in Thane is equipped with 24×7 neurosurgical support, advanced ICU care, and rapid imaging facilities, ensuring that critical patients receive the fastest and most effective treatment possible.
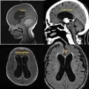
We provide advanced treatment for hydrocephalus with modern shunt surgery in Thane. Hydrocephalus occurs due to excess cerebrospinal fluid buildup in the brain, leading to pressure-related complications. Our neurosurgeons perform Ventriculo-Peritoneal (VP) shunt procedures and endoscopic third ventriculostomy (ETV) to safely divert or regulate the fluid. We focus on safe surgery, minimal risks, and long-term results for both pediatric and adult hydrocephalus patients.
Our expert neurosurgeons perform peripheral nerve surgery in Thane to treat conditions such as carpal tunnel syndrome, ulnar nerve entrapment, brachial plexus injuries, and neuropathic pain syndromes. Using microsurgical and minimally invasive techniques, we help restore nerve function, reduce pain, and prevent further nerve damage. Patients receive comprehensive care with a focus on early recovery and functional improvement.
We are recognized as a leading spine specialist hospital in Thane, offering comprehensive care for patients with degenerative spine diseases, disc problems, spinal deformities, scoliosis, and spinal fractures. Our services include spinal decompression, spinal fusion, endoscopic and minimally invasive spine procedures. With a team of experienced spine surgeons in Thane, we ensure evidence-based treatment tailored to each patient’s condition.
Conveniently located near Majiwada, Thane, our hospital is a leading neuro hospital in Thane, offering comprehensive brain and spine care under one roof. Patients have access to 24×7 emergency neurosurgery, advanced neuro ICU, MRI & CT scan facilities, and expert neurosurgeons. We are committed to making world-class neurosurgical treatment accessible for patients across Thane, Mulund, Bhiwandi, and neighboring areas.
Our specialized pediatric neurosurgery services in Thane provide advanced care for children with congenital brain malformations, hydrocephalus, spinal cord defects, spina bifida, craniosynostosis, and pediatric tumors. With child-friendly infrastructure, advanced anesthesia support, and experienced pediatric neurosurgeons, we ensure safe and compassionate care tailored to the unique needs of children.
We offer safe and effective cyst and lipoma removal surgeries in Thane for benign growths affecting the brain, spine, or peripheral nerves. These procedures are performed using microsurgical and minimally invasive techniques, ensuring minimal scarring, reduced recurrence, and quicker recovery. Our neurosurgeons ensure accurate diagnosis, safe excision, and long-term relief for patients with such conditions.
Our hospital provides comprehensive brain and spine care in Thane, covering the full spectrum of services – from diagnosis, advanced imaging, surgical treatment, to post-operative rehabilitation. With a multidisciplinary team of neurosurgeons, spine specialists, neurologists, and rehabilitation experts, we ensure that every patient receives personalized, holistic, and world-class neurosurgical care in Thane.

Under the direction of neurosurgeon Dr. Bharat Shinde, who has trained at Osaka City University in Japan and at NIMHANS, and has over ten years of expertise. He is skilled in neuroendoscopy, skull base surgery, and brain malignancies.A skilled neurosurgeon with more than ten years of experience, Dr. Bharat Shinde received his training at NIMHANS and went on to specialize in skull base surgery and neuroendoscopy in Japan.
Important Points: All-Inclusive Brain & Spine Treatments: from spinal abnormalities and minimally invasive endoscopic spine operations to catastrophic brain traumas.
Patient-Centric Approach: Prioritizes individualized therapy, making sure patients are educated and at ease during their course of treatment.
Educational Resources: Case studies and educational blogs about ailments including listhesis and cerebral hematomas.
– Brain Tumors
– Cerebrovascular Diseases
– Endovascular Procedures
– Pediatric Brain Tumors
– Skullbase Tumors
– Stroke Surgery
– Traumatic Brain Injury
– Ventricular Brain Tumors
– Minimally Invasive Endoscopic Spine Surgery
– Carpal Tunnel Syndrome
– Craniovertebral Junction Anomalies
– Disc Prolapse
– Spine Tumors
– Listhesis
– Pediatric Spinal Conditions
– Spinal Arteriovenous Malformation
– Spinal Deformity
– Spinal Infections
– Traumatic Spine Injury
If you or a loved one is facing a neurological condition, consult our expert neurosurgeons at Stellars Hospital, Thane.